ð± ã¢ãŒã·ã³ã°ã§æŽãäœãšå¿ïœè¡æµã»èªåŸç¥çµã»å§¿å¢ããããããªã»ãã
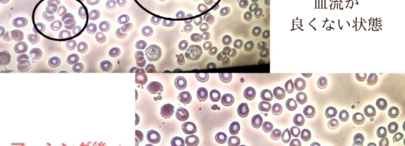
裞足ã§èªç¶ã«è§Šããã¢ãŒã·ã³ã°ãè¡æµã»ççã»èªåŸç¥çµã»å§¿å¢ããªãæŽãããããªãã®ãããé¡åŸ®é¡ç»åã®èŠãæ¹ãšæŽäœã®èŠç¹ãããããããäžå¯§ã«è§£èª¬ããããšæããŸãã 裞足ã§å€§å°ã«ç«ã€ã ãïœã¢ãŒã·ã³ã°ãäœãšå¿ãããããæŽããçç± … ç¶ããèªã ð± ã¢ãŒã·ã³ã°ã§æŽãäœãšå¿ïœè¡æµã»èªåŸç¥çµã»å§¿å¢ããããããªã»ãã
åã蟌ãã«ã¯ãã® URL ãã³ããŒã㊠WordPress ãµã€ãã«è²Œãä»ããŠãã ãã
åã蟌ãã«ã¯ãã®ã³ãŒããã³ããŒããŠãµã€ãã«è²Œãä»ããŠãã ãã